原肌球蛋白/肌钙蛋白(TT)复合物已从牛心肌中纯化(1)。TT复合物由五种蛋白质原肌球蛋白α:原肌球蛋白β:肌钙蛋白C:肌钙蛋白I:肌钙蛋白T以1:1:1:1:1的化学计量比组成,见图1。该复合物已被确定在F-肌动蛋白/钙激活肌球蛋白ATP酶测定中具有生物活性(参见生物活性测定)。该复合物以白色冻干粉末形式提供。
作为Cytoskeleton全国总代理,艾美捷科技强烈推荐Cytoskeleton热销产品原肌球蛋白/原肌球调节蛋白复合物,牛心脏。产品仅用于科研,不可用于临床诊断。
Cytoskeleton公司目前主要的产品有340余种,其产品主要覆盖肌动蛋白,微管蛋白,马达蛋白,小G蛋白,细胞外基质,活细胞成像等相关领域,提供对应的蛋白质,抗体,检测与分析试剂盒,并且产品线还在不断的扩大中。
| 产品名称 | 货号 | 详情 |
| 原肌球蛋白/原肌球调节蛋白复合物,牛心脏 | CS-TT05 | 查看 |
![]() |
![]() |
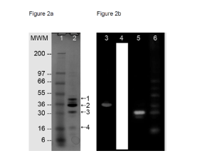
| 图1:肌肉细丝示意图 | 图2:托莫肌苷/肌钙蛋白TCI复合物蛋白质纯度测定 |
原肌球蛋白/原肌球调节蛋白复合物,牛心脏用途:
钙激活肌球蛋白ATP酶活性与细丝结合时的测量。
鉴定/表征影响 TT 复合物调节和肌球蛋白 ATP 酶活性的蛋白质或小分子
鉴定/表征影响肌球蛋白/F-肌动蛋白相互作用的蛋白质或小分子
存储和重构
短暂离心以收集管底部的产品。蛋白质应通过加入冰冷的Milli-Q水重组至3mg / ml。蛋白质将位于以下缓冲液中:20 mM PIPES pH 7.0,25 mM KCl,5%(w / v)蔗糖和1%(w / v)葡聚糖。为了保持蛋白质的高生物活性,建议将蛋白质溶液等分成“实验大小”的量,在液氮中快速冷冻并储存在-70°C。 如果储存在-6°C,该蛋白质可稳定保存70个月。 蛋白质不应暴露于重复的冻融循环中。冻干蛋白在4°C干燥(<10%湿度)下稳定1年。
纯度
蛋白质纯度通过在4-20%梯度聚丙烯酰胺凝胶上扫描考马斯蓝染色蛋白质的密度测定来确定。TT复合物的纯度为85%(见图2a)。使用针对每种成分的抗体来验证每种成分是否存在(见图2b)
原肌球蛋白/原肌球调节蛋白复合物,牛心脏生物活性测定:
通过微管蛋白聚合测定法进行评估。为了通过质量控制,G-PEM中5 mg / ml罗丹明标记的微管蛋白溶液加5%甘油必须聚合至>85%。这与相同条件下的未标记微管蛋白相当。
文献引用:
1. J.M Murray. 1982. Hybridization and reconstitution of the thin filament. Methods in Enzymology, 85, p.15-17.
2. M.J. Holroyde et al. 1980. The calcium and magnesium binding sites on cardiac troponin their role in the regulation of myofibrillar adenosine triphosphatase.
Cytoskeleton专注于生物化学和细胞过程研究中的纯化蛋白和便捷试剂盒开发与生产。公司提供药物筛选、信号转导、蛋白质转录后修饰(PTM)、细胞骨架研究相关的系列试剂盒和产品,尤其以细胞骨架相关研究见长,既能满足于样品较少的科学研究,也可以用于小规模筛选研究和高通量大规模筛选研究。此外,公司还提供微管蛋白,肌动蛋白,小G蛋白,GAPs,GEFs等现有产品的药物筛选服务。









