DCS-22与细胞周期蛋白D3特异性反应。该抗体可用于分析增殖、检测组织切片上的细胞周期蛋白D3(疑似癌基因)和细胞周期研究。该抗体不与细胞周期蛋白D1和细胞周期蛋白D2发生交叉反应。对抗细胞周期蛋白D1/D2抗体的互补反应。

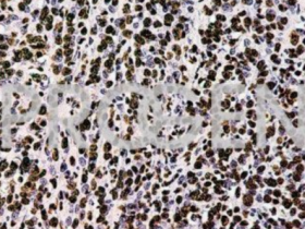
使用抗Cyclin D3抗体(目录号61064)对胰腺朗格罕氏胰岛的人类内分泌上皮细胞进行IHC分析。在福尔马林固定的石蜡包埋切片上进行IHC。样品用二甲苯和乙醇脱蜡,然后用10mM柠檬酸盐缓冲液进行热诱导抗原修复。制备后,在室温下用正常血清阻断组织20分钟。将抗Cyclin D3的第一抗体(目录号61064)稀释在PBS(抗体浓度2.5µg/ml)中,并在4°C下孵育过夜。将第二抗体ImmPRESS HRP抗小鼠IgG在室温下孵育20分钟。将载玻片与DAB溶液孵育至可见棕色染色,并与Haemalaun孵育几分钟。10倍照片是使用显微镜获得的(海德堡大学医院J.Hess提供)。
艾美捷PROGEN-抗Cyclin D3小鼠单克隆抗体,DCS-22,冻干,纯化:
货号:61064
数量:50微克
抗体类型:单克隆
宿主:小鼠
亚型:IgG1
偶联:未偶联
应用:免疫组织化学、西方印迹
纯化:亲和色谱
反应性:人类、猴子、小鼠
重组前储存:直到标示的有效期前2-8°C
重组后储存:重组后可在2-8°C下保存最多3个月;长期分装储存在-20°C;避免冻融循环
用途:仅限研究使用
克隆:DCS-22
免疫原:人类重组的cyclin D3蛋白
浓度:用1毫升蒸馏水重组后50微克/毫升
配方:冻干;用1毫升蒸馏水重组(最终溶液含有0.09%的叠氮化钠,0.5%的BSA在pH 7.4的PBS缓冲液中)
测试应用 测试稀释
免疫组织化学(IHC)- 冷冻切片 1:20至1:50
免疫组织化学(IHC)- 石蜡切片 1:20至1:50(推荐微波处理)
西方印迹(WB) 依赖于实验
PROGEN-抗Cyclin D3小鼠单克隆抗体,DCS-22,冻干,纯化特点:
小鼠单克隆抗体
适用于IHC和WB
与人类、猴子和老鼠发生反应
同种型:IgG1
文献参考:
Bartkova, J., Zemanova, M. & Bartek, J. Abundance and subcellular localisation of cyclin D3 in human tumours. Int. J. cancer 65, 323–7 (1996).
PROGEN,体外诊断试剂的制造商和供应商。 主要产品线: 经过质检验证的抗体、体外诊断产品、抗体噬菌体展示技术、密度梯度分离液和AAV(腺相关病毒)检测试剂盒等。
艾美捷科技是PROGEN的中国代理商,为科研工作者提供优质的产品与服务。






