过氧化氢酶是一种存在于大多数生物体中的酶,它催化过氧化氢分解为水和氧气。在植物细胞中,过氧化氢酶存在于过氧化物酶体中。这种酶参与光呼吸和共生固氮。
作为Agrisera全国总代理,艾美捷科技强烈推荐Agrisera热销产品Cat |过氧化氢酶(过氧化物酶体标记)。产品仅用于科研,不可用于临床诊断。
| 产品名称 | 货号 | 详情 |
| Cat |过氧化氢酶(过氧化物酶体标记) | AS09-501 | 查看 |
Cat |过氧化氢酶(过氧化物酶体标记)基本参数:
- 免疫原:KLH缀合肽选自已知的植物过氧化氢酶序列,包括拟南芥异构体:催化酶-1(Q96528,At1g20630)、催化酶-2(P25819,At4g35090)、催化蛋白酶-3(Q42547,At1g10620);
- 宿主:兔子
- 克隆性:多克隆
- 纯度:血清
- 格式化:冻干
- 数量:50µl
- 重组:为重组添加50µl无菌水
- 储存:-在-20°C条件下冷冻干燥/复原储存;一旦复原,就制作等分试样,以避免重复的冻融循环。请记得在打开管子之前先短暂旋转管子,以避免材料粘附在管子的盖子或侧面可能造成的任何损失。
- 测试应用:免疫黄金(IG)、免疫定位(IL)、免疫沉淀(IP)、蛋白质印迹(WB)
- 推荐稀释度:1:500(IG)、1:25-1:500(IL)、2µg(IP)、1/1000(WB)
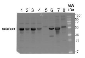
Cat |过氧化氢酶(过氧化物酶体标记)应用示例:

用60mM Tris pH 6.9、10mM DTT、20%甘油、1mm PMSF在12.5%SDS-PAGE上分离来自拟南芥Col0(1)、Cat2-(Col0)(2)、Ler0(3)、Cat-2-(Ler0)(4)、玉米(5)、水稻(6)、甘蓝(7)、烟草(8)的10µg总蛋白,并用PVDF印迹1h。在室温(RT)下搅拌,用3%脱脂乳在PBS+0.05%Tween20中封闭印迹1h。在同一缓冲液中搅拌,将印迹在稀释度为1∶1000的第一抗体中在RT下孵育1h。倾析抗体溶液,将印迹短暂漂洗三次,然后在RT下在PBS-T中搅拌洗涤3次,持续5分钟。将印迹在稀释至1:50000的第二抗体(抗兔IgG马萝卜过氧化物酶缀合物,Agrisera,AS09 602)中在PBS+0.05%Tween20中的3%脱脂乳中在RT下搅拌孵育1h。如上所述洗涤印迹,并根据制造商说明用Western Lightning Plus ECL(PerkinElmer)显影1分钟。暴露时间为5min。在ChemiDoc XRS+(Biorad)中。
比利时根特大学Brigitte van de Cotte提供
Agrisera 公司提供的植物领域的抗体涵盖拟南芥、莱茵衣藻、蓝藻、松柏类、硅藻、大豆、大麦、蒺藜苜蓿、烟草、稻、菜豆、小立碗藓、杨树、豌豆、番茄、马铃薯、菠菜、小麦、玉米、葡萄等多个物种,此外还有水生生物类(藻类、鱼)抗体,细菌、昆虫、真菌抗体。Agrisera 公司以提供高品质、优服务在欧洲树立了优秀的品牌形象,并成为瑞典 Umeå Plant Science Centre的抗体供货商,同时还积极拓展全球市场,每年都有大批采用该公司抗体产品的高质量研究论文发表于各类学术刊物,受到全球科研工作者的一致认可。作为Agrisera在中国的区域总代理,艾美捷科技有限公司将为中国客户提供全面的Agrisera产品以及客户订制化服务。







